Week 3:
The Children’s Hospital
June 12, 2013
If there is a take-home message from my work this week, it would be that research can be…well…messy. I have been working on collecting important information, such as post-operative complications, operative time, days in ICU, and estimated blood loss along with many other variables. To find this information I have to comb through old medical charts and decipher the various notes recorded by surgeons, doctors, and nurses (who, by the way, all record their notes in different styles). In theory, this sounds like a fairly simple task, which is the preconceived notion I had. The problem, however, is that in order to collect this data I have to be able to find the notes from surgery. For this project, the patient population we are researching, patients with myelomeningocele who have undergone spinal fusions, is fairly small. In order to get enough data, the project is including patients who had the spinal fusion up to fifteen years ago. Fifteen years ago, the medical charts were often paper form. These paper documents should have been uploaded to Epic, the database where medical information is now stored. The reason it is difficult to find many of the old medical charts is because sometimes the documents are filed according to when they were uploaded, not the day of the surgery. To add to the problem, they are often recorded under some nonspecific title like “historic documents”, in which the surgical notes may be uploaded, but along with pages and pages of medical documents (and not the medical documents I am looking for). This means I have to look through tons and tons of information in order to find the notes related to the patient’s spinal fusion. In other cases, the documents may not have been uploaded yet, in which case it becomes necessary to contact medical records to order a copy of the paper form. This can be frustrating at times, but when I do find and review the patients’ charts I find it very interesting. It is fun to read about the different procedures performed, and I have begun to notice trends. For example, some common post-operative complications many of these patients have are severe infection or hardware malfunction. I feel like I have become fairly good at navigating medical charts through this process, which is an important skill because of my future professional goals.
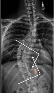
As I mentioned in my last post, I am also working on viewing x-rays in order to record radiographic measures. I have to look at the curve of the spine and the degree of pelvic obliquity both before and after surgery. It is very encouraging to see how a patient with a very severe curve will have an almost completely straight spine after fusion. Not only is it encouraging, but it also supports my desire to enter the medical field. Below are some photos of the radiographic measures I am referring to. (The x-ray isn’t a photo of measurements I have done myself because I don’t want to release any sensitive information, but, nevertheless, it gets the point across).
Major: Biochemistry & Molecular Biology. Hometown:Maroa, Illinois.


