Week 6:
Lab Time, Good Results, and a Well Deserved Break.
July 7, 2019
This week was shorter than normal because Palmer College of Chiropractic gives their employees time off for the 4th and 5th of July. So, I was at the Palmer Center for Chiropractic Research Monday and Tuesday.

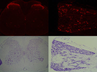
On Monday, I was able to get into the lab again with Kyle Bohnert, PhD, who is an Assistant Professor of Kinesiology at St. Ambrose University. Incidentally, Dr. Bohnert did his graduate schoolwork at the University of Louisville nearby where I grew up/went to high school/ whose college basketball team I cheer for, so it was cool to interact with someone who knew the area I was from. In the lab, Mr. Sozio and I helped Dr. Bohnert as he dissected out and embedded tissues for his muscle atrophy experiment. I was tasked with wrapping molds with the embedded tissues in protective foil and writing the specimen names, muscle types and date on the foil after Mr. Sozio froze the tissues in the molds. Then, I took the wrapped molds to a deep freezer where they will be stored until Dr. Bohnert continues his experiment. Later that day, I went into the microscopy room with Mr. Arends where we spent a couple of hours looking at my calcitonin gene-related peptide (CGRP)- and Cresyl Violet-stained spinal cords and dorsal root ganglia sections on microscope slides. We captured images of the sections and then arranged some of them into a montage to post to this week’s blog.
On Tuesday, I spent my morning in the lab observing Mr. Arends carry out some additional procedures for the second day of immunostaining that he and Mr. Sozio were working on to guide a Palmer Chiropractic Student Research Assistant’s R15 Research Honors project. The immunostaining procedures were being done for a different neuropeptide than CGRP. I observed to get an idea of how a dilution immunostaining experiment was done. Afterwards, I went over to the microscopy room and used a computer to put together another montage for this week’s blog post. I included some of the CGRP-immunostained spinal cord and dorsal root ganglia images I had already captured. Then, I spliced them together with a helpful diagram from a research article by Dr. A. Todd to show that dorsal root ganglia neurons transport CGRP into the spinal cord dorsal horns. When needed, the dorsal root ganglia neurons release CGRP from the terminals to transmit information to spinal cord neurons with CGRP receptors. These spinal cord neurons process this information, relay it to other neurons, and this ultimately leads to a sensation.


I took off the rest of the week to visit my family in Indiana. While there, I plan to share my summer experiences thus far with my brother and cousin, the chiropractors whom inspired me to pursue a career in their profession.
On Wednesday, I had a hard workout for my summer cross country training, so I went to the R. Richard Bittner Athletic & Recreation center to complete it. The fitness center is brand new and state of the art, it has everything you could ever want in a fitness center, so it made carrying out my workout very enjoyable. After I finished my workout, I went back to my Airbnb, packed my cloths and other necessities, and sat off on my 7-hour journey home. I drove until the late hours of the night, so I did not do much on Wednesday, but on Thursday I woke up early, completed a ten mile run, filled out some paper work for school, and then went to dinner with one of my best friends Brady. We had a nice meal and caught up on all that had happened in our lives, and since I haven’t been home for 6 months, there was a lot to talk about. After our meal we went to another good friend’s house, made a fire, listened to music and just had a good relaxing night in country. Friday, I completed an eight-mile run, and then a big group of friends and I went to a 4th of July party, the party was great, and I had fun time getting to see other friends that I haven’t seen in a long while.

On Saturday, I ran thirteen miles in the morning, and then spent the rest of the day at my cousin’s house party, the same one who is a chiropractor, which was fun because I was able to talk with him about the things that I have learned while I have been at the PCCR, and I was also able to teach him a thing or two that he has forgotten since graduating from Palmer, I also think I was able to reassure him that I am on the right track to success to become a chiropractor. He told me that in order to provide the best care to patients you need to be able to analyze people mentally but also biologically, and that he was glad that I am learning these inner mechanisms of the spine and pain mechanisms because it will help me in the future when I become a chiropractor. Unfortunately, I was unable to visit with my brother while I was in town because he had gone on a trip to his mother, we have different moms, who lives out of state. However, I was able to talk with him on the phone, and he shared similar reassurance and happiness that I was on the right track to success.
On Sunday, I spent some time with my mom, and then I packed up all my things in my car and began the long 7-hour journey back to my Airbnb in Illinois. I arrived to my Airbnb with a warm welcome from my hosts, so I think they might have missed me. I am very thankful that I have made some good friends during my time here, and I cannot wait to see how the rest of the summer goes. I would also like to give a special thanks to the Cornell Fellows program and the wonderful people that donate to it because without you all I would not have been able to pursue this amazing opportunity.
Paul is a kinesiology major with a minor in biology from Leavenworth, Indiana.
PreviousWeek 5: All about Histology
NextWeek 7: Cryosectioning, Clinical Simulation, and Having Fun With Friends.
